Πολυχρονόπουλος Γιώργος DDS, MOrth
Ορθοδοντικός
Ο Πολυχρονόπουλος Γιώργος είναι Ορθοδοντικός, Οδοντίατρος και διατηρεί τα ιδιωτικά οδοντιατρεία "ISmile" στο Χαλάνδρι και στους Αμπελόκηπους. Είναι απόφοιτος της Οδοντιατρικής Σχολής του Εθνικού και Καποδιστριακού Πανεπιστημίου Αθηνών, όπου και του απονεμήθηκε το Αριστείο "Bert Levin" ως τιμητική διάκριση για τις κλινικές και θεωρητικές επιδόσεις του, με γνωστικό αντικείμενο την Ορθοδοντική. Το πρόγραμμα περιλάμβανε εις βάθος θεωρητική εκπαίδευση και εκτενή κλινική άσκηση σε όλες τις σύγχρονες ορθοδοντικές τεχνικές, όπως η Γλωσσική Ορθοδοντική (STB), η Ορθοδοντική με Διαφανείς Νάρθηκες (Invisalign), καθώς και οι τεχνικές MBT, Damon, Incognito και Orthocaps, για τις οποίες διαθέτει επίσημη πιστοποίηση. Συμμετέχει συστηματικά σε επιστημονικά συνέδρια στην Ελλάδα και το εξωτερικό, παρουσιάζοντας εργασίες και ανακοινώσεις, ενώ παρακολουθεί σταθερά το πρόγραμμα συνεχιζόμενης επιμόρφωσης του American Association of Orthodontists (AAO), με σημαντικό αριθμό πιστοποιημένων ωρών. Παράλληλα, εργασίες του έχουν δημοσιευθεί σε κορυφαία ελληνικά οδοντιατρικά επιστημονικά περιοδικά. και είναι μέλος του Οδοντιατρικού Συλλόγου Αττικής (ΟΣΑ), της Ορθοδοντικής Εταιρείας Ελλάδος (ΟΕΕ), του General Dental Council (GDC), του Ηelsedirekroratet - The Norwegian Directorate of Health, του American Association of Orthodontists (AAO) και του World Federation of Orthodontists (WFO). Στόχος του κυρίου Πολυχρονόπουλου είναι η άρτια εφαρμογή των σύγχρονων τεχνικών της Ορθοδοντικής και η εξατομίκευση των θεραπειών με κριτήριο τις ανάγκες του κάθε ασθενούς.
Εξειδικεύσεις γιατρού
-
Μεταπτυχιακό στην Ορθοδοντική, Οδοντιατρική Σχολή, Tel Aviv University, Ισραήλ (2006 - 2009)
Παροχές
- Αναλαμβάνει περιστατικά παιδιών έως 12 ετών
Υπηρεσίες
Απλή επίσκεψη
Δωρεάν
Στοματικός έλεγχος
Δωρεάν
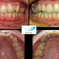
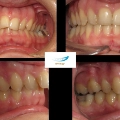
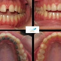
Σιδεράκια γλωσσικά (αθέατα)
600€
- 3000€
Σιδεράκια αόρατα
800€
- 2300€
Σιδεράκια κεραμικά (λευκά)
Μεταλλικά αγκύλια (σιδεράκια)
αναλυτικά
Αόρατοι νάρθηκες ορθοδοντικής
Μασελάκια ορθοδοντικής
Ορθοδοντική ενηλίκων
Βιογραφικό
Σπουδές
- Μεταπτυχιακό στην Ορθοδοντική, Οδοντιατρική Σχολή, Tel Aviv University, Ισραήλ (2006 - 2009)
- Πτυχίο Οδοντιατρικής, Οδοντιατρική Σχολή, Εθνικό & Καποδιστριακό Πανεπιστήμιο Αθηνών (1998 - 2003)
Επαγγελματική εμπειρία
- Ιδιωτικά οδοντιατρεία "ISmile", Χαλάνδρι & Αμπελόκηποι
Μέλος συλλόγων
- Οδοντιατρικός Σύλλογος Αττικής (ΟΣΑ)
- Ορθοδοντική Εταιρεία Ελλάδος (ΟΕΕ)
- General Dental Council (GDC)
- Ηelsedirekroratet - The Norwegian Directorate of Health
- American Association of Orthodontists (AAO)
- περισσότερα
Αξιολογήσεις
-
-
Δήμητρα Μ.11 Σεπ 2025
Ευγενικός και πολύ εξυπηρετικός!!
-
Βασιλειος Μ.10 Φεβ 2025
Μου ενεπνευσε εμπιστοσυνη και ελυσε τις αποριες μου σχετικα με το θεραπευτικο σχημα.
-
Panagiotis M.17 Ιαν 2025
Συζητήσιμος γιατρός
-
ΠΈΤΡΟΣ Χ.14 Ιαν 2025
Τον προτείνω ανεπιφύλακτα...κ εγώ στην αρχή πήγα επιφυλακτικά..(αφού οι προηγούμενοι που πήγα ούτε με καθοδήγησαν..ούτε με βοήθησαν...)...όμως από την πρώτη στιγμή καταλαβαίνεις πως θέλει να λύσει κάθε είδους πρόβλημα που έχεις...κάτι σαν challenge για εκείνον...κ μετά από 2 χρόνια τώρα...που είχα χρόνια πρόβλημα με στραβά δόντια..τώρα με βλέπω (ολόισια δόντια) δεν το πιστεύω καν...φυσικά κ τα κορίτσια στο ιατρείο τα αισθάνεσαι ότι τα ξέρεις καιρό.. προσιτά κ με ευγένεια...οποίος έχει αμφιβολία..ας περάσει από εκεί 2-3 λεπτά κ θα δει μόνος του...

























































