Dr. Λεπενιώτη Βασιλική DDS
Χειρουργός Οδοντίατρος
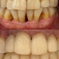
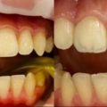
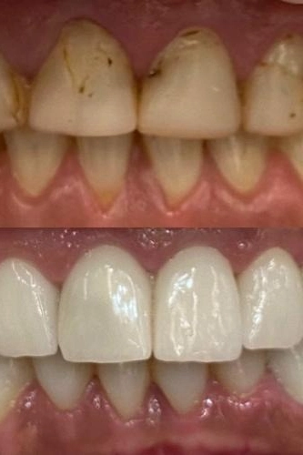
Η Λεπενιώτη Βασιλική είναι Χειρουργός Οδοντίατρος και διατηρεί το ιδιωτικό οδοντιατρείο "General and Aesthetic Dentistry" στην Αγία Παρασκευή. Είναι πτυχιούχος της Οδοντιατρικής Σχολής του Εθνικού και Καποδιστριακού Πανεπιστημίου Αθηνών και κάτοχος Διπλώματος στην "Αισθητική Οδοντιατρική" από το ίδιο Πανεπιστήμιο και στη "Μικροοδοντιατρική" από το Κέντρο Δια Βίου Μάθησης του Ινστιτούτου "Μέριμνα". Μετά το πέρας των σπουδών της, μετέβη στη Γερμανία, όπου μετεκπαιδεύτηκε στη "Σύγχρονη Προσθετική Αποκατάσταση Αισθητικής Οδοντιατρικής και Εμφυτευμάτων" στο Ludwig Maximilian University of Munich. Κατά τη διάρκεια της επαγγελματικής της πορείας, έχει διατελέσει Επιστημονική συνεργάτις της Οδοντιατρικής Σχολής του Εθνικού και Καποδιστριακού Πανεπιστημίου Αθηνών στον τομέα της Αισθητικής Οδοντικής Χειρουργικής ενώ συνεργάστηκε με Ιδιωτική Κλινική στην Αθήνα. Στα πλαίσια της συνεχούς εκπαίδευσης και κατάρτισής της, έχει παρακολουθήσει πληθώρα επιμορφωτικών σεμιναρίων και έχει συμμετάσχει σε επιστημονικά συνέδρια με αναρτημένες ανακοινώσεις. Στο σύγχρονο ιδιωτικό οδοντιατρείο της, συνδυάζοντας την άρτια επιστημονική της εκπαίδευση με την πολυετή εμπειρία και τον επαγγελματισμό της, παρέχει εξατομικευμένες υπηρεσίες γενικής, προληπτικής και αισθητικής οδοντιατρικής, με στόχο την ολοκληρωμένη και αποτελεσματική αντιμετώπιση όλου του εύρους των παθήσεων των δοντιών και των ούλων. Η κυρία Λεπενιώτη, πραγματοποιεί πλήρη στοματικό έλεγχο, καθαρισμό, σφραγίσματα, λεύκανση και απονεύρωση δοντιών, καθώς και τοποθέτηση οδοντικών εμφυτευμάτων και όψεων ρητίνης και πορσελάνης.
Εξειδικεύσεις γιατρού
-
Πτυχίο Οδοντιατρικής, Οδοντιατρική Σχολή, Εθνικό & Καποδιστριακό Πανεπιστήμιο Αθηνών (1996 - 2001)
-
Συνεργάτις, Ιδιωτική Κλινική, Αθήνα
Ιατρεία
-
Λεωφόρος Μεσογείων 392, Αγία Παρασκευή, Αττική
Υπηρεσίες
Στοματικός έλεγχος
40€
Καθαρισμός δοντιών
40€
- 70€
Απονεύρωση δοντιών
120€
- 250€
Γέφυρα δοντιών
300€
Εξαγωγή δοντιού
50€
- 100€
Ουλίτιδα
60€
- 180€
Περιοδοντίτιδα
280€
- 400€
Ακτινογραφία
20€
- 40€
Εξαγωγή φρονιμίτη
80€
- 250€
Νάρθηκες δοντιών
150€
- 300€
Στίλβωση - Φθορίωση
20€
περισσότερες υπηρεσίες
Βιογραφικό
Σπουδές
- Πτυχίο Οδοντιατρικής, Οδοντιατρική Σχολή, Εθνικό & Καποδιστριακό Πανεπιστήμιο Αθηνών (1996 - 2001)
- Δίπλωμα στην "Αισθητική Οδοντιατρική", Οδοντιατρική Σχολή, Εθνικό & Καποδιστριακό Πανεπιστήμιο Αθηνών
- Δίπλωμα στη "Μικροοδοντιατρική", Κέντρο Δια Βίου Μάθησης, Ινστιτούτο "Μέριμνα"
- Μετεκπαίδευση στη "Σύγχρονη Προσθετική Αποκατάσταση Αισθητικής Οδοντιατρικής και Εμφυτευμάτων", Ludwig Maximilian University of Munich, Γερμανία
Επαγγελματική εμπειρία
- Ιδιωτικό οδοντιατρείο "General and Aesthetic Dentistry", Αγία Παρασκευή (2019 - σήμερα)
- Συνεργάτις, Ιδιωτική Κλινική, Αθήνα
- Επιστημονική συνεργάτις, Οδοντιατρική Σχολή, Εθνικό και Καποδιστριακό Πανεπιστήμιο Αθηνών
Συμμετοχή σε συνέδρια
- "Η διαχείριση ενδοδοντικών περιστατικών αυξημένης δυσκολίας", Εταιρεία Οδοντοστοματολογικής Ερεύνης, Αθήνα (2 - 3/11/2018)
- 2ο Διεθνές Συνέδριο Ενδοδοντίας, Ελληνική Ενδοδοντική Εταιρεία (Ε.Ε.Ε.), Αθήνα (21 - 23/9/2018)
- 37ο Πανελλήνιο Οδοντιατρικό Συνέδριο, Ελληνική Οδοντιατρική Ομοσπονδία (Ε.Ο.Ο.), Θεσσαλονίκη (19 - 21/10/2017)
- περισσότερα


















































